Newton
(641) 792-7811
Grinnell
(641) 236-6007
Home
About
Us
Meet
Dr.
Jennifer
Buren
Meet
Dr.
Carney
Loucks
Meet
the
Team
ABO
Certification
Why
Choose
Us
Office
Tour
New
Patients
Office
Visits
Financial
Information
Smile
Gallery
Patient
Forms
About
Ortho
Orthodontic
FAQs
Early
Prevention
For
All
Ages
Common
Problems
How
to
Choose
an
Orthodontist
Braces
101
Life
with
Braces
Brushing
and
Flossing
Patient
Care
Videos
Ortho
Dictionary
Emergency
Care
Retainer
Instructions
Color
My
Braces
Braces
Diagram
Treatments
Dentofacial
Orthopedics
Palatal
Expander
Types
of
Braces
Invisalign®
Invisalign®
Invisalign®
Info
Invisalign®
for
Teens
Invisalign®
FAQs
Invisalign®
Videos
Invisalign®
for
Adults
Surgical
Orthodontics
Patient
Instructions
iTero®
Element™
Contact
Newton
Office
Grinnell
Office
Post-Appointment
Survey
Office Visits
•
Financial Information
•
Smile Gallery
•
Patient Forms
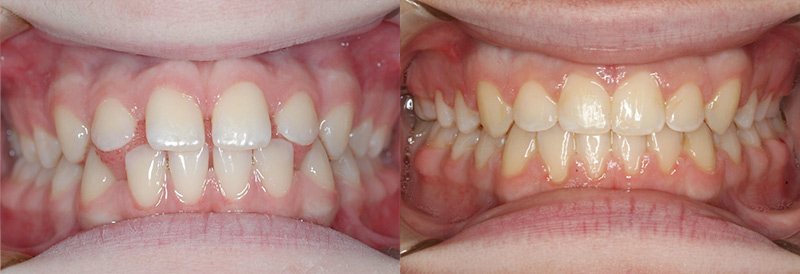
Smile Gallery
411 E 17th St S
Newton, IA 50208
(641) 792-7811
835 Broad St
Grinnell, IA 50112
(641) 236-6007